Profesionales de la odontología visiten: ultradent.lat
Opalescence Boost

Blanqueamiento de Consultorio con Resultados Inmediatos

El blanqueamiento dental profesional Opalescence™ Boost™ es aplicado por tu dentista precisamente en el consultorio dental para darte una ¡sonrisa blanca rápido! No son necesarias las lámparas de LED de blanqueamiento dental calientes e incómodas porque está químicamente activado, y tendrás una sonrisa más brillante con únicamente dos o tres tratamientos de 20 minutos.

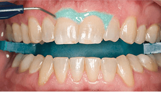
  • Antes de Blanqueamiento Dental Opalescence
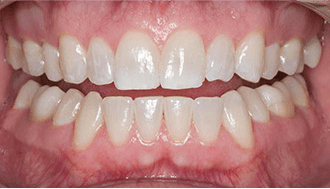
  • Después de Blanqueamiento Dental Opalescence
Antes
Después

Mueva el cursor hacia la derecha para ver la toma anterior y luego hacia la izquierda para ver los brillantes resultados que brinda el blanqueamiento dental Opalescence Boost!

Características del Blanqueamiento Dental Opalescence Boost:

Productos Opalescence
  • La aplicación experta en el consultorio del dentista por un profesional calificadol
  • Blanqueamiento químicamente activado, que significa que no se necesitan lámparas de LED de blanqueamiento dental calientes e incómodas
  • El gel de blanqueamiento dental contiene nitrato de potasio y fluoruro para la comodidad del paciente
  • Notables resultados de blanqueamiento en cerca de una hora
  • Una sonrisa blanca y brillante tan pronto como se va del consultorio dental
  • Vegano – no se usan productos animales
  • Certificado libre de gluten
Libre de gluten

Qué Esperar del Blanqueamiento Dental Opalescence Boost

Vídeo sobre cómo utilizar Opalescence Boost
Modelo de Opalescence Boost

Guía paso a paso del blanqueamiento dental Opalescence Boost

1
Opalescence Boost Step-1

1. Se tomará el color inicial de tus dientes.

2
Opalescence Boost Step-2

2. Una barrera protectora será utilizada para prevenir irritación de las encías debido al gel blanqueador

3
Opalescence Boost Step-3

3. Tu odontólogo aplicará el gel blanqueador de dientes Opalescence Boost con una punta de cepillo suave.

4
Opalescence Boost Step-4

4. Veras resultados alrededor de una hora despues

Consulta con un profesional de la odontología para obtener más información.

Otras opciones de blanqueamiento